
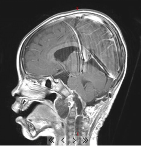
通常情况下,小孩子很少打鼾(俗称打呼噜),如果您的宝宝睡觉打鼾,并且声音很大,那要引起注意了,最好带孩子做个检查,因为睡觉打鼾也有可能是脑肿瘤引起的。


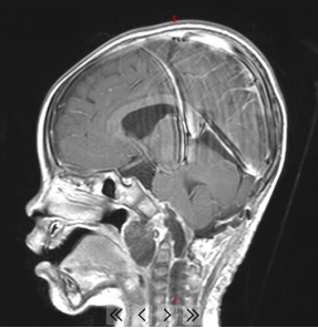
通常情况下,小孩子很少打鼾(俗称打呼噜),如果您的宝宝睡觉打鼾,并且声音很大,那要引起注意了,最好带孩子做个检查,因为睡觉打鼾也有可能是脑肿瘤引起的。


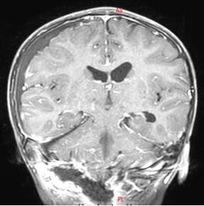
通常情况下,小孩子很少打鼾(俗称打呼噜),如果您的宝宝睡觉打鼾,并且声音很大,那要引起注意了,最好带孩子做个检查,因为睡觉打鼾也有可能是脑肿瘤引起的。

关于北京时间|北京广播电视台&北京新媒体集团&北京网络广播电视台 版权所有|网上传播视听节目许可证0103028号|京ICP备17010175号-1|Copyright © 2026 Btime.com, All Rights Reserved