四维彩超侧脑室正常值_北京时间

脑脊液循环路径如下:侧脑室--经由室间孔--第三脑室--经由中脑导水管--第四脑室--经由四脑室正中孔--小脑延髓池--经由外侧孔--桥池--蛛网膜下腔--蛛网膜粒--上矢状窦--颈内静脉,然后再由尾侧向头侧循环。

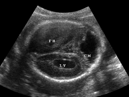
四维彩超侧脑室正常值是多少?孕期准妈妈可以通过四维彩超测量胎儿的侧脑室宽度,那么,四维彩超侧脑室正常值是多少呢?
四维彩超侧脑室正常值
胎儿侧脑室宽度正常值应该在10mm以下,若超过10mm,被称为侧脑室增宽,是因为脑脊液过多积聚与脑室系统内,使脑室系统扩张所致。通常,侧脑室宽度越宽程度越重,对胎儿的影响越大。若侧脑室宽度超过15mm,被称为脑积水。
如果孕妇在B超检查中怀疑有侧脑室增宽,先不用惊慌,应再次检查确认是否真的增宽。孕妇可以通过下列检查帮助诊断。
1、详细的超声评估及胎儿超声心动图检查,以排除颅内、脊柱异常、以及心脏等其他结构异常。
2、取羊水或脐血行胎儿染色体检查,必要时行基因芯片分析。
3、由于侧脑室增宽也与胎儿宫内感染有关,建议行TORCH病毒筛查;
4、必要时建议做一个MRI(核磁共振)检查,以协助除外中枢神经系统病。
定时复诊
经过上述的检查,确定胎儿的染色体和基因都没有问题,也没有合并其他任何疾病,只是单纯性的侧脑室增宽,孕妇就可以放心了,只要按时B超复诊就可以,因为侧脑室增宽目前没有任何有效的治疗办法,只能靠胎儿自行吸收。一般每3-4周复查一次,直至胎儿出生,出生后可儿科门诊定期随诊,评估新生儿、幼儿生长发育及智力发育情况。
注意:若是有其他结构畸形或者异常情况,或者在复查时,发现侧脑室还在逐渐增宽,或发现新的胎儿异常,这样就要考虑孩子可能需要引产。
商议分娩方式
若只是单纯的侧脑室增宽,没有任何其他问题要求孕妇必须剖腹产,建议选择顺产。一般只要侧脑室增宽还没到脑积水的地步,孩子的脑袋没有明显被撑得很大,顺产是没有问题的。
若胎头过大则建议采用剖宫产娩出,否则可经阴道试产。
我们都知道侧脑室增宽没有有效的治疗方法,只能靠孕后期胎儿自动吸收,那么,侧脑室增宽吸收高峰期是什么时候呢?
很多准妈妈都认为侧脑室增宽吸收高峰期是32周左右,但其实这个时间也是不固定的,因为每个胎儿脑器官发育进度都不一样,吸收的时间也会有所差别。
首先,我们要知道侧脑室增宽是由于侧脑室内脉络丛产生脑脊液集聚过多,未及时循环掉,因而滞留引起脑室扩大。所以,要想侧脑室的宽度缩小,就需要脑脊液顺畅的循环。
脑脊液循环路径如下:侧脑室--经由室间孔--第三脑室--经由中脑导水管--第四脑室--经由四脑室正中孔--小脑延髓池--经由外侧孔--桥池--蛛网膜下腔--蛛网膜粒--上矢状窦--颈内静脉,然后再由尾侧向头侧循环。
由此可知,当胎儿脑室和孔洞的发育同步时,脑脊液就顺利同步循环了,无滞留,不会出现侧脑室增宽的情况;但有些宝宝侧脑室发育较快,而孔洞发育稍慢,如中脑导水管系统慢一些,脑脊液便会暂时停留在侧脑室,侧脑室暂时性增宽。等到孔洞发育好了,各系统协调了,循环就会顺畅起来,脑脊液就会被吸收,脑室扩大的情况就会改善至正常水平。
而因为每对准爸妈的遗传因素和胎儿的自身情况都是不一样的,所以,胎儿脑器官发育进度也就会有不同,导致每个胎儿侧脑室发展也会有不同的表现,所以对脑脊液的吸收时间也会有所差别。

脑脊液循环路径如下:侧脑室--经由室间孔--第三脑室--经由中脑导水管--第四脑室--经由四脑室正中孔--小脑延髓池--经由外侧孔--桥池--蛛网膜下腔--蛛网膜粒--上矢状窦--颈内静脉,然后再由尾侧向头侧循环。

四维彩超侧脑室正常值是多少?孕期准妈妈可以通过四维彩超测量胎儿的侧脑室宽度,那么,四维彩超侧脑室正常值是多少呢?
四维彩超侧脑室正常值
胎儿侧脑室宽度正常值应该在10mm以下,若超过10mm,被称为侧脑室增宽,是因为脑脊液过多积聚与脑室系统内,使脑室系统扩张所致。通常,侧脑室宽度越宽程度越重,对胎儿的影响越大。若侧脑室宽度超过15mm,被称为脑积水。
如果孕妇在B超检查中怀疑有侧脑室增宽,先不用惊慌,应再次检查确认是否真的增宽。孕妇可以通过下列检查帮助诊断。
1、详细的超声评估及胎儿超声心动图检查,以排除颅内、脊柱异常、以及心脏等其他结构异常。
2、取羊水或脐血行胎儿染色体检查,必要时行基因芯片分析。
3、由于侧脑室增宽也与胎儿宫内感染有关,建议行TORCH病毒筛查;
4、必要时建议做一个MRI(核磁共振)检查,以协助除外中枢神经系统病。
定时复诊
经过上述的检查,确定胎儿的染色体和基因都没有问题,也没有合并其他任何疾病,只是单纯性的侧脑室增宽,孕妇就可以放心了,只要按时B超复诊就可以,因为侧脑室增宽目前没有任何有效的治疗办法,只能靠胎儿自行吸收。一般每3-4周复查一次,直至胎儿出生,出生后可儿科门诊定期随诊,评估新生儿、幼儿生长发育及智力发育情况。
注意:若是有其他结构畸形或者异常情况,或者在复查时,发现侧脑室还在逐渐增宽,或发现新的胎儿异常,这样就要考虑孩子可能需要引产。
商议分娩方式
若只是单纯的侧脑室增宽,没有任何其他问题要求孕妇必须剖腹产,建议选择顺产。一般只要侧脑室增宽还没到脑积水的地步,孩子的脑袋没有明显被撑得很大,顺产是没有问题的。
若胎头过大则建议采用剖宫产娩出,否则可经阴道试产。
我们都知道侧脑室增宽没有有效的治疗方法,只能靠孕后期胎儿自动吸收,那么,侧脑室增宽吸收高峰期是什么时候呢?
很多准妈妈都认为侧脑室增宽吸收高峰期是32周左右,但其实这个时间也是不固定的,因为每个胎儿脑器官发育进度都不一样,吸收的时间也会有所差别。
首先,我们要知道侧脑室增宽是由于侧脑室内脉络丛产生脑脊液集聚过多,未及时循环掉,因而滞留引起脑室扩大。所以,要想侧脑室的宽度缩小,就需要脑脊液顺畅的循环。
脑脊液循环路径如下:侧脑室--经由室间孔--第三脑室--经由中脑导水管--第四脑室--经由四脑室正中孔--小脑延髓池--经由外侧孔--桥池--蛛网膜下腔--蛛网膜粒--上矢状窦--颈内静脉,然后再由尾侧向头侧循环。
由此可知,当胎儿脑室和孔洞的发育同步时,脑脊液就顺利同步循环了,无滞留,不会出现侧脑室增宽的情况;但有些宝宝侧脑室发育较快,而孔洞发育稍慢,如中脑导水管系统慢一些,脑脊液便会暂时停留在侧脑室,侧脑室暂时性增宽。等到孔洞发育好了,各系统协调了,循环就会顺畅起来,脑脊液就会被吸收,脑室扩大的情况就会改善至正常水平。
而因为每对准爸妈的遗传因素和胎儿的自身情况都是不一样的,所以,胎儿脑器官发育进度也就会有不同,导致每个胎儿侧脑室发展也会有不同的表现,所以对脑脊液的吸收时间也会有所差别。